BEFORE AFTER

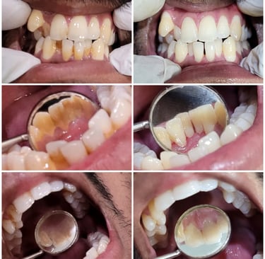
Scaling (teeth cleaning) of a heavily crowded male patient

BEFORE

AFTER

Beautiful veneer (crown) of a female patient with front upper tooth complain.

BEFORE

AFTER

Denture for an old aged female patient